
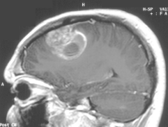
Scientists have found strong links between cell phone radiation exposure and occurrence of brain tumors
The World Health Organization has declared cell phone radiation a Class 2B possible carcinogen based on peer-reviewed science including epidemiological brain tumor studies.
Those who wish to reduce their cancer risk will be increasingly unable to do so if Big Telecom destroys the safer landline network. The alternatives they are pushing- wireless cell phones and VOIP- mean more radiation exposure at higher levels to more people.
What are the personal costs to our families? What are the costs to the medical system of billions more cell phone exposure hours, and potentially millions of new brain tumor cases over the coming decades?
Links to peer-reviewed studies on the risks of wireless microwave radiation can be found here.
EMF testing meters that measure microwave radiation pollution can be obtained here.